La colangitis esclerosante primaria es una enfermedad inflamatoria progresiva de los conductos biliares de origen autoinmune. La enfermedad de asocia habitualmente a colitis ulcerosa: Hasta un 90% de los pacientes con colangitis esclerosante primaria tienen colitis ulcerosa. Menos frecuentemente puede asociarse a enfermedad de Crohn. Por otro lado, la prevalencia de colangitis esclerosante en pacientes con colitis ulcerosa es de aproximadamente 5%. Es una enfermedad que afecta predominantemente a hombres (sólo un 30% de los afectados son mujeres). Se asimila a otra enfermedad colestásica llamada cirrosis biliar primaria.
Causas
La causa exacta se desconoce. Se cree que existen factores genéticos y ambientales que inducen a células del sistema inmune (linfocitos T) a atacar los conductos biliares intra y extra hepáticos, llevando a su destrucción progresiva. Esto produce acumulación de sustancias tóxicas en el hígado, particularmente ácidos biliares, que por su efecto detergente producen daño de las células hepáticas. Este daño va seguido por desarrollo de inflamación, fibrosis y eventualmente cirrosis e insuficiencia hepática.Manifestaciones clínicas
La colangitis esclerosante primaria puede no presentar síntomas por largos períodos de tiempo. Las manifestaciones incluyen:
Fatiga: Es uno de los síntomas más frecuentes de esta enfermedad.
Prurito (picazón): Este síntoma puede llegar a ser muy intenso y no es raro que los pacientes hayan sido evaluado por varios dermatólogos antes de hacerse el diagnóstico.
Pigmentación de la piel: La piel puede tomar un tono más oscuro en algunos pacientes.
Ictericia: En etapas más avanzadas puede haber aumento de los niveles de bilirrubina en la sangre que se manifiesta con el característico color amarillento de la piel y escleras (el blanco del ojo).
Dolor abdominal: Aproximadamente el 15% de los pacientes presenta dolor en la zona del hígado, sin clara explicación.
Esteatorrea y déficit de vitaminas liposolubles: La disminución en la secreción de ácidos biliares hacia el intestino interfiere en la absorción de vitaminas liposolubles. Si bien la diarrea y esteatorrea franca son infrecuentes, la deficiencia de vitamina A, D, E y K son relativamente frecuentes. Dentro del diagnóstico diferencial de la diarrea están algunas condiciones que son más frecuentes en los pacientes con colangitis esclerosante primaria, como la pancreatitis crónica y la enfermedad celíaca.
Ascitis: La ascitis consiste en la acumulación de líquido en la cavidad abdominal. Frecuentemente va precedido de aumento de peso por retención de líquido. Habitualmente se asocia a edema (hinchazón) de las piernas. La acumulación de líquido en el abdomen puede llegar a ser muy marcada, causando saciedad precoz, pesadez o dolor. Puede complicarse con insuficiencia renal (síndrome hepatorenal) o con infección del líquido ascítico (peritonitis bacteriana espontánea).
Várices esofágicas y estomacales: Se forman como consecuencia de la hipertensión portal. No producen dolor ni molestias, excepto cuando sangran. El sangrado variceal es una complicación grave y puede manifestarse de las siguientes maneras: vómitos con sangre ("hematemesis"), deposiciones de color negro, pastosas y de mal olor ("melena"), lipotimia o desmayo, anemia crónica, en casos de sangrado en pequeñas cantidades por gastropatía de la hipertensión portal.
Encefalopatía hepática: Consiste en una alteración del sistema nervioso central que puede manifestarse de las siguientes formas: cambios de carácter, alteración del ciclo sueño-vigilia, excesiva somnolencia durante el día, pérdida de memoria, confusión, sopor, coma.
Osteoporosis: Los pacientes afectados están en riesgo de desarrollar osteoporosis, es decir, disminución de la densidad ósea, con el consiguiente riesgo de fracturas.
Hipercolesterolemia: Hallazgo frecuente.
Manifestaciones clínicas y diagnóstico
La colangitis esclerosante primaria frecuentemente es asintomática en las etapas iniciales de la enfermedad. Puede sospecharse frente al hallazgo de alteraciones de las enzimas hepáticas en pacientes con colitis ulcerosa, particularmente elevaciones de las fosfatasas alcalinas. El prurito y fatigabilidad pueden ser síntomas de presentación en algunos casos. Un 10 a 15% de los pacientes debutan con fiebre, ictericia y dolor abdominal en hipocondrio derecho, lo que se explica por episodios de colangitis recurrente.
Exámenes de laboratorio
Los exámenes de laboratorio muestran un patrón colestásico de alteración de las pruebas hepáticas, con elevaciones predominantes de fosfatasas alcalinas y gama glutamil transpeptidasa (GGT).
Otros alteraciones de laboratorio incluyen la presencia de anticuerpos anti-citoplasma de neutrófilo, con patrón perinuclear (p-ANCA), que ocurre aproximadamente en la mitad de los pacientes, elevaciones de IgM (50%), hipergamaglobulinemia (30%) y elevación de cobre urinario con ceruloplasmina baja (hallazgo común en enfermedades colestásicas).
Imágenes
El diagnóstico de la colangitis esclerosante primaria se realiza con la demostración de las alteraciones típicas del árbol biliar, que incluyen zonas estenóticas (estrecheces) y dilataciones multifocales. El diagnóstico de elección hasta hace algunos años era realizado a través de una colangiografía retrógrada endoscópica (CPRE), pero actualmente la colangiografía por resonancia magnética (colangioresonancia) prácticamente ha reemplazado a la colangiografía retrógrada. Esta última se reserva para casos de duda diagnóstica y para cuando se planifica una intervención sobre la vía biliar.
En el diagnóstico diferencial de la colangitis esclerosante primaria se debe considerar las colangitis bacterianas crónicas, isquemia de la vía biliar, colangitis infecciosas (colangiopatía asociada a SIDA) y la pancreato-colangitis esclerosante (también llamada pancreatitis autoinmune).
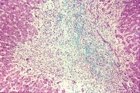
Biopsia hepática
La histología hepática puede apoyar el diagnóstico, pero no es necesaria para establecer el diagnóstico en la mayoría de los casos, sin embargo contribuye a establecer la etapa de la enfermedad y pronóstico. El hallazgo histológico característico es la presencia de tejido fibroso dispuesto en forma concéntrica alrededor de los conductillos biliares (lesión en "piel de cebolla"). El resto de las lesiones es similar a las de la cirrosis biliar primaria. La fibrosis se etapifica habitualmente en 4 estadios:
Etapa I: Infiltrado mononuclear en la tríada portal. Puede haber necrosis en sacabocado (hepatitis de interfase).
Etapa II: Expansión de la fibrosis más allá de la tríada portal, con extensión al parénquima hepático adyacente.
Etapa III: Fibrosis en puente.
Etapa IV: Cirrosis.
Colangitis y litiasis
Los pacientes con colangitis esclerosante tienen mayor prevalencia de cálculos biliares, que pueden ser de colesterol o pigmentarios. La colangitis es una complicación que en algunos casos es inducida por manipulación de la vía biliar, por ejemplo después de una colangiografía retrógrada o biopsia hepática. Episodios repetidos de colangitis bacteriana son una de las indicaciones de trasplante hepático.
Colangiocarcinoma
El riesgo de desarrollar colangiocarcinoma en pacientes con colangitis esclerosante primaria es de 1,5% anual. Los pacientes con colitis ulcerosa tienen un riesgo mayor. El diagnóstico de colangiocarcinoma es muy difícil en pacientes con colangitis esclerosante, y debe sospecharse si hay baja de peso inexplicada o ante cualquier estenosis dominante de la vía biliar. Dentro de las herramientas que pueden ayudar a establecer el diagnóstico están los marcadores tumorales séricos como CA 19-9 (mayor de 129 U/mL) y CEA, las imágenes como la resonancia magnética y posiblemente el PET-scan, y los métodos directos como la citología de cepillados de la zona sospechosa. Es recomendable realizar una colangio-resonancia anual. Hay resultados alentadores usando técnicas más sofisticadas de diagnóstico como el análisis digital y la detección de antígenos mediante FISH en las muestras citológicas.
Cáncer de colon
Los pacientes con colangitis esclerosante y colitis ulcerosa tienen un mayor riesgo de cáncer de colon, por lo que debe realizarse vigilancia colonoscópica periódica para búsqueda de lesiones sospechosas y para el diagnóstico de displasia. En caso de realizar una colectomía el riesgo de reservoritis es mayor que en pacientes sin esta enfermedad.
Tratamiento
Ninguno de los tratamientos actualmente disponibles para la colangitis esclerosante primaria ha demostrado tener un efecto comprobado modificando la historia natural de la enfermedad.
El medicamento más usado es el ácido ursodeoxicólico, basado fundamentalmente en los beneficios de este ácido biliar en otras enfermedades colestásicas como la cirrosis biliar primaria. El uso de este medicamento en dosis de hasta 15 mg/kg ha demostrado beneficios bioquímicos (disminución de la fosfatasa alcalina [FA] y gama glutamil transpeptidasa [GGT]), pero no ha demostrado claros beneficios histológicos o en la sobrevida de los pacientes. Hay estudios prospectivos en curso usando dosis más altas (20 a 30 mg/kg). Un nuevo derivado del ácido ursodeoxicólico llamado nor-ursodeoxicólico parece promisorio en estudios pre-clínicos. El uso de corticoides (ej.: la budesonida) puede ayudar a aliviar los síntomas.
El trasplante hepático es el tratamiento de elección en los casos en que la enfermedad ha avanzado. Los criterios de indicación de trasplante son similares a los de cualquier otra enfermedad hepática crónica. Una indicación adicional de trasplante hepático es la presencia de colangitis bacterianas a repetición. La solo presencia de ictericia no se considera una indicación de trasplante. Un score de la Clínica Mayo que prediga una mortalidad mayor a 80% en los siguientes 6 meses se acepta habitualmente como criterio de enlistamiento para trasplante hepático.
Pronóstico
La colangitis esclerosante primaria es una enfermedad progresiva que deriva en cirrosis y en la necesidad de un trasplante hepático. La mediana de sobrevida sin trasplante es de 12 años. La sobrevida puede estimarse de mejor forma utilizando el score la Clínica Mayo (Mayo Clinic Risk Score), que incluye en una fórmula la edad, historia de hemorragia variceal, albúmina, bilirrubina y SGOT. La colangitis esclerosante puede recurrir luego del trasplante hepático en un 20% de los pacientes.


No hay comentarios:
Publicar un comentario