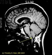
La malformación de Chiari consiste en un desplazamiento hacia abajo de la porción caudal del cerebelo y, a veces, del tronco cerebral, que se encuentran situados por debajo del foramen magno (3 mm por debajo de este foramen en el examen con resonancia magnética RM).
Chiari las clasificó en 4 tipos:- Tipo I.- Sólo están descendidas las amígdalas cerebelosas.- Tipo II.- Descienden las amígdalas más la parte inferior del vermis e incluso la parte inferior del IV ventrículo. Se asocia siempre con espina bífida abierta e hidrocefalia. aparece en niños.- Tipo III.- Todo el cerebelo está descendido y existe encefalocele occipital.- Tipo IV.- Hipoplasia del cerebelo.En la actualidad se distinguen solamente 2 entidades:- Chiari tipo I.- Se presenta clínicamente en la edad adulta.- Chiari tipo II.- Se presenta en niños asociado con espina bífida e hidrocefalia.
Etiología
La causa exacta de la malformación de Chiari es desconocida. Se ha sugerido que la malformación ocurre durante el desarrollo temprano del embrión . La etiopatogenia no es clara, considerándose distintas teorías . Históricamente se las ha considerado como patologías puramente congénitas, pero en los últimos años cada vez han sido más frecuentes las publicaciones en las que se describe un origen secundario.
No hay una teoría que pueda explicar por si sola todas las alteraciones que se expresan clínicamente, por esta razón es más atractivo pensar en la posibilidad de combinación de las distintas teorías.
En general se aceptan cuatro teorías posibles para explicar las formas congénitas:
1. Teoría de la tracción: en el tipo II la malformación lumbar ejercería una tracción sobre las estructuras de la fosa posterior, originando el descenso de las estructuras de la fosa posterior .
2. Teoría de la alteración de la dinámica de flujo: la presencia de hidrocefalia ejercería presión sobre el cerebelo y tronco en sentido caudal, dando lugar a un desplazamiento de dichas estructuras a través del foramen mágnum.
3. Malformación primaria del tronco cerebral (poco probable)
4. Desarrollo insuficiente de la fosa posterior: según esta teoría, que aparece como la más plausible, el cerebelo no sería traccionado ni empujado, sino que se vería obligado a crecer en la dirección del canal raquídeo debido al escaso volumen de la fosa posterior.
La hernia congénita se desarrolla durante la vida fetal debido al crecimiento del cerebelo en una fosa posterior pequeña. En este momento el grado de herniación dependerá de la asimetría entre continente y contenido y de la inmadurez de los ligamentos dentados que permiten una mayor movilidad de las estructuras, o sea un mayor descenso de las mismas.
No hay una teoría que pueda explicar por si sola todas las alteraciones que se expresan clínicamente, por esta razón es más atractivo pensar en la posibilidad de combinación de las distintas teorías.
En general se aceptan cuatro teorías posibles para explicar las formas congénitas:
1. Teoría de la tracción: en el tipo II la malformación lumbar ejercería una tracción sobre las estructuras de la fosa posterior, originando el descenso de las estructuras de la fosa posterior .
2. Teoría de la alteración de la dinámica de flujo: la presencia de hidrocefalia ejercería presión sobre el cerebelo y tronco en sentido caudal, dando lugar a un desplazamiento de dichas estructuras a través del foramen mágnum.
3. Malformación primaria del tronco cerebral (poco probable)
4. Desarrollo insuficiente de la fosa posterior: según esta teoría, que aparece como la más plausible, el cerebelo no sería traccionado ni empujado, sino que se vería obligado a crecer en la dirección del canal raquídeo debido al escaso volumen de la fosa posterior.
La hernia congénita se desarrolla durante la vida fetal debido al crecimiento del cerebelo en una fosa posterior pequeña. En este momento el grado de herniación dependerá de la asimetría entre continente y contenido y de la inmadurez de los ligamentos dentados que permiten una mayor movilidad de las estructuras, o sea un mayor descenso de las mismas.
En resumen, la existencia de una fosa posterior pequeña se puede deber, según esta teoría, a un defecto en la génesis del hueso occipital o bien a una implantación demasiado baja del seno transverso. Ambas alteraciones son comunes en los pacientes con esta patología.
Un capítulo aparte representan los casos de malformación de Chiari tipo I adquiridas . En general se cree que el factor desencadenante es la creación de un gradiente de presión de L.C.R. cráneo-espinal. A Se han reportado casos de siringomielia asociada a formas adquiridas de estas patología, posiblemente entonces, la mayoría de estas formas adquiridas derivarían en siringomielia si se les diese el tiempo necesario
Un capítulo aparte representan los casos de malformación de Chiari tipo I adquiridas . En general se cree que el factor desencadenante es la creación de un gradiente de presión de L.C.R. cráneo-espinal. A Se han reportado casos de siringomielia asociada a formas adquiridas de estas patología, posiblemente entonces, la mayoría de estas formas adquiridas derivarían en siringomielia si se les diese el tiempo necesario
Sumeer Sathi reportó un caso en el cuál la herniación de las amígdalas cerebelosas se observó posteriormente a punciones lumbares repetidas. Luego de cerrar el defecto dural producido se pudo comprobar por RMI el reposicionamiento de las estructuras del cerebro posterior. En relación con la fisiopatología de esta forma adquiere vital importancia la teoría de "disociación de los presiones de LCR cráneo-espinal" que produciría un descenso de las amígdalas cerebelosas.
También hay casos reportados asociados a raquitismo resistente a vitamina D y a fístulas espontáneas de LCR
También hay casos reportados asociados a raquitismo resistente a vitamina D y a fístulas espontáneas de LCR
GENETICA En algunas familias,estan afectados más de una persona con chiari tipo Iy siringomelia . A este fenómeno se conoce como agregación familial. Los esfuerzos actuales de la investigación se están centrando en establecer que la agregación familial es debido a una causa genética. Se estan realizando estudios de MRI en todos los miembros de la familia en algunas de las familias que tienen ya más de un paciente diagnosticado con chiari tipo I y siringomelia, incluyendo algunos miembros de la familia que no tengan síntomas. Este estudio se esta realizando actualmente en USA
Se estudia cuidadosamente cada región de cada cromosoma para encontrar una región que contribuya a chiari tipo I y siringomelia. Entonces, estas regiones se estudian detalladamente. El paso de progresión siguiente es comenzar a buscar los genes implicados. Hay esperanzas que en años próximos los investigadores que trabajan juntos podrán explicar qué cambios ocurren en estos cromosomas para causar algunos casos de Cjhaiari tipo I y siringomelia.
ANATOMIA
¿Cual es el probelma anatomico del Arnold Chiari?
La malformación de Chiari consiste en un desplazamiento hacia abajo de la porción caudal del cerebelo y, a veces, del tronco cerebral, que se encuentran situados por debajo del foramen magno (3 mm por debajo de este foramen en el examen con resonancia magnética RM).
Varios autores coinciden en señalar que con cierta frecuencia se asocia a malformaciones óseas de la charnela occípito-cervical (invaginación basilar, fosa posterior pequeña, platibasia, asimilación de C1, Síndrome de Klippel-Feil y clivus corto)
Foto que demuestra las estructuras anatómicas implicadas en la producción y flujo del líquido cerebroespinal con el sistema ventricular, el cerebro y la médula espinal, y finalmente la absorción en la circulación sanguínea. Usted también verá que la diferencia entre un cerebelo "normal" y el cerebelo de un paciente de ACM con las amígdalas cerebelosas que resaltan con foramen magnum.
CLINICA
Los síntomas experimentados por las personas con la malformación de Chiari pueden ser muy variados
Los síntomas iniciales pueden ser vagos y variables. Existen muchos sintomas que son vagos. Por ello muchas veces son mandados a psicologos o psiquiatras al te¡ner un cuadro tan amplio y tan poco evidente.
La mayoría de los síntomas se relacionan con la compresión los nervios craneales más bajos o las estructuras del troco cerebral
Si bien es escasamente sintomática, Las hernias mayores a 12 mm son invariablemente sintomáticas, pero de aquellas entre 5-10 mm sólo son sintomáticas el 30% ,su importancia radica en que tiene un índice de asociación a siringomielia/hidromielia que varía según los distintos autores del 20 al 40% hasta del 50 al 76 % de los casos, sin embargo si solo tenemos en cuenta los pacientes sintomáticos la presencia de siringo-hidromielia aumenta al 60-90%
Todos los síntomas pueden ser intermitentes y mejorar con el decúbito.
Los pacientes con el tipo I concurren a la consulta por síntomas originados en alguna de estas causas:
Los pacientes con el tipo I concurren a la consulta por síntomas originados en alguna de estas causas:
-Compresión del tronco encefálico a nivel del foramen mágnum
-Hidrocefalia
-Siringomielia
-Hidrocefalia
-Siringomielia
Dolor occípito cervical:
Es el síntoma más común , especialmente la cefalea que es generalmente referida a la región suboccipital . Puede constituir el síntoma inicial y se debe al impacto de las estructuras del cerebro posterior en el foramen magnum. Suele acentuarse con la tos, con los movimientos del cuello y con el ejercicio. A veces puede irradiarse a los brazos. Tanto la tos como el ejercicio pueden desencadenar un síncope por aumento brusco de la presión intracraneal, por lo tanto debe ser considerado como un signo de alarma .
Síndrome siringomiélico:
La siringomielia que produce es de tipo comunicante (o hidromielia). El síndrome se caracteriza por parestesias y anestesia termoalgésica suspendida o "en esclavina" (cuero cabelludo, cuello, hombros, brazos y región superior del tórax) que puede comenzar en forma unilateral y que se debe a una interrupción de las fibras de la sensibilidad termoalgésica en el cruce de la comisura blanca anterior y antes de que alcancen el haz espinotalámico lateral, atrofia y déficit motor de los músculos de la mano y el brazo con abolición de los reflejos miotáticos (por lesión de la segunda neurona) y signos de compromiso de las vías largas (por crecimiento del quiste intramedular, o bien por las malformaciones de la charnela occípito-cervical asociadas). El compromiso sensitivo y motor (o síndrome periependimario) se limitan a los niveles o dermatomas correspondientes al quiste medular, y es el responsable de la frecuente presencia de cicatrices de quemaduras en estos pacientes.
El cuadro clínico nunca retrograda espontáneamente. Compromiso de pares craneales:
Son comunes la diplopía, neuralgia trigeminal, mareos o vértigos, disfagia o disfonía, paresia del hipogloso. La afectación del tronco cerebral generalmente se expresa como un nistagmus horizontal, rotatorio o diagonal, disociación de los movimientos oculares y osciloscopía (el paciente es consciente del grosero movimiento nistágmico de los ojos). Puede haber interrupción del fascículo longitudinal medial provocando un nistagmus horizontal limitado al ojo del lado al que se dirige la mirada (este signo es particularmente sugestivo de esclerosis múltiple con la que debemos hacer el diagnóstico diferencial)
Síndrome cerebeloso:
Se observa en el 11% de los casos (3). La presencia de nistagmus es notoria, generalmente es vertical y bate hacia abajo, el cuál en algunos pacientes produce vértigo al mirar hacia el piso. También puede presentar ataxia de tronco y extremidades y disartria.
Otros síntomas y signos
Pueden encontrarse también presentes: el signo de Lhermitte (sensación de descarga eléctrica desde la nuca al dorso o las extremidades al flexionar la cabeza, presente también en la esclerosis múltiple), debilidad en algún miembro y compromiso de los miembros inferiores generalmente como espasticidad.
Los sintomas mas comunes en adulto se suelen desarollar en la edad de 40 años y con mayor frecuencia en mujeres que en hombres. Hay circustancias que hacen que estos sintomas puedan aparecer antes como accidentes de coche, dar a luz, tener tracciones de cuello, etc
| Síntomas | proporción del síntoma | | Síntomas | proporción del síntoma |
| Dolor de cabeza | el 90% | Sueño Apnea | el 55% | |
| Fatiga | el 90% | Tono Disminuido Del Músculo | el 55% | |
| Pérdida de visión | el 81% | Presión en oídos | el 52% | |
| Desequilibrio General | el 77% | Náusea | el 52% | |
| Torpeza General | el 77% | Dificultad de leer texto | el 52% | |
| Pérdida De la Memoria | el 77% | Problemas de dar Opinión en Profundidad | el 52% | |
| Intolerancia a la luz brillante | el 74% | El quemarse intenso en extremidades | el 52% | |
| Vertigo del cambio de la posición | el 74% | Problemas Menstruales | el 49% | |
| Dificultad de caminar ensuperficies desiguales | el 74% | Pérdida de libido | el 48% | |
| Disfunción De las Habilidades De Motor | el 74% | Dolor que tira en cuello | el 45% | |
| Presión en cuello | el 71% | Estrellas"en la visión | el 45% | |
| Dolor de presion Detrás De Ojos | el 71% | Ataques Del Pánico | el 45% | |
| Dolor de espalda (lesión dorsal anterior los 35%) | el 71% | Veritgo del nerviosismo | el 42% | |
| Espasmos Del Cuello | el 68% | Dolor que tira en cabeza | el 42% | |
| Puntos en la visión | el 68% | Tirantez en pecho | el 39% | |
| Insomnio | el 61% | Pérdida de control de la vejiga | el 35% | |
| Sonido en oídos | el 61% | Presión en pecho | el 35% | |
| Duela al Cambiar La Posición | el 61% | Deshidratación | el 35% | |
| Nistagmo | el 58% | Gota Del Pie | el 32% | |
| Sensaciones de zumbidos en la cabeza | el 58% | Sensaciones Ardientes como electricas | el 26% | |
| Intolerancia a los sonidos | el 58% | Tamaño Desigual De la Pupila | el 26% | |
| Visión Doble | el 55% | Pérdida de gusto | el 26% | |
| Dificultad al Tragar | el 55% | Pérdida de olor | el 10% | |
| Veritgo Espontáneo | el 55% | Piel seca y labios | el 10% | |
| Temblores De la Mano | el 55% | |||
| Circulaciones Pobres De la Sangre | el 55% | |||
Diagnóstico diferencial
La malformación de Arnold-Chiari tipo I puede ser confundida con una lesión expansiva o una malformación vascular de la región del agujero occipital o de la médula cervical alta.
Clínicamente puede ser difícil de diferenciar de una esclerosis múltiple, especialmente cuando la malformación del tejido cerebral se presenta en ausencia de cambios óseos significativos. El método ideal para aclarar cualquiera de estos planteos diagnósticos es la imagen de resonancia magnética.
Clínicamente puede ser difícil de diferenciar de una esclerosis múltiple, especialmente cuando la malformación del tejido cerebral se presenta en ausencia de cambios óseos significativos. El método ideal para aclarar cualquiera de estos planteos diagnósticos es la imagen de resonancia magnética.
Tratamiento
El tratamiento es complejo. La hidrocefalia progresiva requiere derivación ventricular. Los síntomas y signos de compromiso de las estructuras de la fosa posterior y de la médula espinal alta pueden mejorar con la descompresión suboccipital y laminectomía cervical superior.
Dentro de los factores que influyen en la evolución postoperatoria podemos citar como negativos la presencia de atrofia, ataxia y escoliosis en el examen prequirúrgico . Otro parámetro a tener en cuenta es el tiempo entre el inicio de los síntomas y la cirugía, en general se observan mejores resultados en los pacientes operados antes de los dos años de comienzo del cuadro clínico .
Dentro de los factores que influyen en la evolución postoperatoria podemos citar como negativos la presencia de atrofia, ataxia y escoliosis en el examen prequirúrgico . Otro parámetro a tener en cuenta es el tiempo entre el inicio de los síntomas y la cirugía, en general se observan mejores resultados en los pacientes operados antes de los dos años de comienzo del cuadro clínico .
Indicaciones
Es recomendado por la mayoría de los autores el tratamiento quirúrgico precoz de esta patología.
El tratamiento quirúrgico del tipo I (cuadro dominante siringomiélico) es recomendable cuando la clínica progresa o la RMI demuestra aumento del crecimiento del quiste. Los pacientes asintomáticos deben ser observados y operados cuando comiencen con la sintomatología. Los pacientes sintomáticos pero estables por años deben ser observados y operados sólo cuando halla signos de deterioro .
La malformación de tipo II sólo requiere tratamiento quirúrgico cuando aparecen los síntomas respiratorios reseñados o bien cuando se presenta un cuadro de vías largas en edades más tardías .
El procedimiento a realizar es la descompresión de fosa posterior (que finalmente resulta necesaria en el 18.7% de los pacientes con mielomeningocele), pero siempre teniendo en cuenta que al paciente se le debe colocar primero un shunt de LCR.
El tratamiento quirúrgico del tipo I (cuadro dominante siringomiélico) es recomendable cuando la clínica progresa o la RMI demuestra aumento del crecimiento del quiste. Los pacientes asintomáticos deben ser observados y operados cuando comiencen con la sintomatología. Los pacientes sintomáticos pero estables por años deben ser observados y operados sólo cuando halla signos de deterioro .
La malformación de tipo II sólo requiere tratamiento quirúrgico cuando aparecen los síntomas respiratorios reseñados o bien cuando se presenta un cuadro de vías largas en edades más tardías .
El procedimiento a realizar es la descompresión de fosa posterior (que finalmente resulta necesaria en el 18.7% de los pacientes con mielomeningocele), pero siempre teniendo en cuenta que al paciente se le debe colocar primero un shunt de LCR.
Técnica
Chiari tipo I
Los objetivos a lograr en el tratamiento quirúrgico de esta patología son :
1) Eliminar el gradiente de presión cráneo espinal del LCR
2) Reestablecer el espacio subaracnoideo
3) Eliminar la siringomielia en los casos que existe
4) Eliminar la compresión del tronco encefálico
El tratamiento de la siringomielia asociada al tipo I corresponde al tratamiento de ésta misma, así como también el del mielomeningocele y la hidrocefalia.
Los procedimientos propuestos son:
-Descompresión de fosa posterior
-Obliteración del óbex (prácticamente abandonado)
-Shunt del cuarto ventrículo
-Shunt siringo-subaracnoideo
-Remodelación de la fosa posterior (RFP)
-Resección transoral del odontoides
-Descompresión de fosa posterior
La descompresión de la fosa posterior sola o en combinación con otros procedimientos es la técnica quirúrgica más utilizada en estos momentos.
Este procedimiento consiste en realizar una craniectomía suboccipital asociada a una laminectomía de todas las vértebras cervicales necesarias para descomprimirlas amígdalas y el vermis en toda su extensión, ya que el descenso de estas estructuras nerviosas suele ser muy importante.
Otros autores como Gregg y col. aconsejan junto con la descompresión de fosa posterior realizar un injerto del duramadre junto con la obliteración del óbex (con músculo o teflón) y un shunt del cuarto ventrículo.
Otros autores como Gregg y col. aconsejan junto con la descompresión de fosa posterior realizar un injerto del duramadre junto con la obliteración del óbex (con músculo o teflón) y un shunt del cuarto ventrículo.
Sin embargo estas dos últimas conductas han sido cuestionadas.
En general se realiza una craniectomía sub-occipital pequeña y una laminectomía del atlas y, a veces de C2, con incisión de la duramadre y revisión de la entrada del cuarto ventrículo. Si hay alguna membrana que impida la salida del LCR, que es un hallazgo poco frecuente , debe ser perforada.
Puesto que las adherencias pueden ser una de las causas de hidromielia, por interrupción de las vías de drenaje de LCR, se ha de procurar manipular el tejido cerebeloso lo menos posible, para no estimular la formación de fibrosis.
Un concepto a tener en cuenta es que en estos pacientes la implantación del seno transverso suele estar extremadamente baja, es por esto que hay que ser cuidadoso en el momento de abrir la duramadre. Además es aconsejable no exagerar en el tamaño de la resección occipital (3 por 3 cm.) debido a que la compresión no se produce en la fosa posterior sino en el foramen mágnum y, en cambio, favorece la herniación de los hemisferios cerebelosos.
Algunos autores ponen énfasis en no intentar remover las adherencias que mantienen unidas las amígdalas para evitar la eventual injuria de estructuras nobles como la P.I.C.A., etc. Sin embargo, otros aconsejan separarlas cuidadosamente y producir su retracción mediante coagulación bipolar.
Según la experiencia de Kazutoshi H. y col. el shunt siringo-subaracnoideo es superior a la descompresión del foramen magnum como tratamiento inicial para la siringomielia en la malformación del Chiari tipo I, especialmente para aquellos pacientes con grandes cavidades y con una evolución rápida de los síntomas. Esto se debe a que con este procedimiento lograron una mejoría neurológica mayor (97% contra 82%), un mayor alivio del dolor y más rápido cierre de la cavidad (tiempo medio de 1.8 semanas contra 6.3 semanas). Kazutoshi también considera como posibilidad terapéutica el shunt.
La remodelación de la fosa posterior descripta por E. Rubio y col. en 1994 ( Hospital Vall d'Hebron, Barcelona) consiste en una descompresión clásica con conservación total del plano aracnoideo, a la que se le agrega un injerto de duramadre sintético y luego la fijación de éste por medio de tres puntos al plano muscular superficial. De este modo la duramadre se presenta en forma de carpa previniendo las adherencias y desarrollando una cisterna magna artificial, tal cuál como lo demuestran las imágenes de RMI. En todos los casos presentados en dicho artículo se comprobó el reposicionamiento de las amígdalas.
Cuando los estudios demuestran signos de compresión ventral del tronco encefálico algunos autores recomiendan la resección transoral del odontoides debido a que sostienen que estos pacientes pueden empeorar con una descompresión de la fosa posterior. En cambio obtienen una clara mejoría en todos los casos. También parece razonable realizar este procedimiento en aquellos pacientes en los que las RMI de control muestran signos de empeoramiento de la impresión basilar luego de la descompresión posterior.
Dentro de las complicaciones postoperatorias la depresión respiratoria es la más frecuente, por lo tanto es importante el monitoreo de esta función. Esta ocurre generalmente en los primeros 5 días y de noche. Otros riesgos son: fístula de LCR, herniación de los hemisferios cerebelosos y lesiones vasculares (P.I.C.A.).
En general se realiza una craniectomía sub-occipital pequeña y una laminectomía del atlas y, a veces de C2, con incisión de la duramadre y revisión de la entrada del cuarto ventrículo. Si hay alguna membrana que impida la salida del LCR, que es un hallazgo poco frecuente , debe ser perforada.
Puesto que las adherencias pueden ser una de las causas de hidromielia, por interrupción de las vías de drenaje de LCR, se ha de procurar manipular el tejido cerebeloso lo menos posible, para no estimular la formación de fibrosis.
Un concepto a tener en cuenta es que en estos pacientes la implantación del seno transverso suele estar extremadamente baja, es por esto que hay que ser cuidadoso en el momento de abrir la duramadre. Además es aconsejable no exagerar en el tamaño de la resección occipital (3 por 3 cm.) debido a que la compresión no se produce en la fosa posterior sino en el foramen mágnum y, en cambio, favorece la herniación de los hemisferios cerebelosos.
Algunos autores ponen énfasis en no intentar remover las adherencias que mantienen unidas las amígdalas para evitar la eventual injuria de estructuras nobles como la P.I.C.A., etc. Sin embargo, otros aconsejan separarlas cuidadosamente y producir su retracción mediante coagulación bipolar.
Según la experiencia de Kazutoshi H. y col. el shunt siringo-subaracnoideo es superior a la descompresión del foramen magnum como tratamiento inicial para la siringomielia en la malformación del Chiari tipo I, especialmente para aquellos pacientes con grandes cavidades y con una evolución rápida de los síntomas. Esto se debe a que con este procedimiento lograron una mejoría neurológica mayor (97% contra 82%), un mayor alivio del dolor y más rápido cierre de la cavidad (tiempo medio de 1.8 semanas contra 6.3 semanas). Kazutoshi también considera como posibilidad terapéutica el shunt.
La remodelación de la fosa posterior descripta por E. Rubio y col. en 1994 ( Hospital Vall d'Hebron, Barcelona) consiste en una descompresión clásica con conservación total del plano aracnoideo, a la que se le agrega un injerto de duramadre sintético y luego la fijación de éste por medio de tres puntos al plano muscular superficial. De este modo la duramadre se presenta en forma de carpa previniendo las adherencias y desarrollando una cisterna magna artificial, tal cuál como lo demuestran las imágenes de RMI. En todos los casos presentados en dicho artículo se comprobó el reposicionamiento de las amígdalas.
Cuando los estudios demuestran signos de compresión ventral del tronco encefálico algunos autores recomiendan la resección transoral del odontoides debido a que sostienen que estos pacientes pueden empeorar con una descompresión de la fosa posterior. En cambio obtienen una clara mejoría en todos los casos. También parece razonable realizar este procedimiento en aquellos pacientes en los que las RMI de control muestran signos de empeoramiento de la impresión basilar luego de la descompresión posterior.
Dentro de las complicaciones postoperatorias la depresión respiratoria es la más frecuente, por lo tanto es importante el monitoreo de esta función. Esta ocurre generalmente en los primeros 5 días y de noche. Otros riesgos son: fístula de LCR, herniación de los hemisferios cerebelosos y lesiones vasculares (P.I.C.A.).
Chiari tipo II
Su tratamiento quirúrgico es superponible al de la hidrocefalia (colocación de una válvula de derivación de LCR) y del mielomeningocele .
Comúnmente se ha argumentado que parte de los pobres resultados de la descompresión de la fosa posterior en los niños con esta patología se debían a que los hallazgos neurológicos eran producidos por anomalías intrínsecas del tronco que este procedimiento no puede resolver. Un punto de vista disidente sostiene que las lesiones histológicas son debidas a la compresión crónica del tronco y su concomitante isquemia, por lo tanto la descompresión del tronco encefálico debe ser llevada a cabo ante el desarrollo de cualquiera de los siguientes signos de alarma: disfagia neurogénica, estridor y pausas apneicas . Pollack y col. también sostienen que un componente importante de la disfunción del tronco es producida por fenómenos adquiridos, por lo tanto sugieren que la descompresión debe ser llevada a cabo en forma urgente en aquellos niños con Chiari tipo II y síntomas de disfunción del tronco.
El procedimiento que habitualmente se realiza es la descompresión de la fosa posterior con la colocación de un parche de duramadre. En general son aplicables los mismos cuidados que en la cirugía del tipo I.
Es importante no intentar disecar las amígdalas de la médula subyacente. Es recomendable realizar una traqueostomía , a menudo transitoria, en los niños que presentan en el preoperatorio estridor y parálisis del abductor laríngeo. El control de la respiración en el postoperatorio es fundamental por el riesgo elevado de obstrucción y disminución de la frecuencia respiratoria.
Resultados
Chiari tipo I
La documentación en la literatura acerca de la evolución de estos pacientes es muy confusa. Qué grupo de pacientes va a recuperar el déficit y cuál no va a mejorarlo no está claramente definido.
Rhoton sostiene que el mayor beneficio de la cirugía es detener la progresión de la patología.
La morbilidad y mortalidad operatoria actual es muy pequeña.
En general se acepta que los síntomas debido a compresión del tronco cerebral (especialmente la cervicocefalalgia) son los que responden de mejor manera a la cirugía, desapareciendo en algunos casos. También tiene buena respuesta el síndrome cerebeloso.
No ocurre así con la clínica relacionada con la siringomielia.
Según lo describe William Bell y col. los niños tanto como los adolescentes y adultos responden mejor a la cirugía descompresiva que los menores a un año, que en general presentan una respuesta escasa. Ésta podría deberse a que la compresión dentro del primer año de vida puede producir daño isquémico en el tronco cerebral o bien que éstos niños presentarían una citoarquitectura neurológica previamente alterada. La mejoría clínica postquirúrgica de la debilidad muscular sólo se observa en el 16-50 % de los pacientes. Peores resultados se observan cuando hay atrofia muscular, ya que raramente se ha verificado alguna mejoría luego de la cirugía.
En el tratamiento del síndrome siringomiélico los enfermos que no tienen déficit motor importante y que se operan pronto obtienen una mejoría importante; sin embargo pueden quedar síntomas, en especial los que afectan a las manos. En relación a esto, Rubio y col. (32) obtuvieron con la RFP buenos resultados, pero sin encontrar una diferencia estadísticamente significativa entre esta técnica y la descompresión de fosa posterior clásica.
En lo que respecta a las vías largas, la mejoría es mayor desde el punto de vista subjetivo que lo objetivable con el examen clínico.
No hay una exacta correlación entre la evolución clínica y la imagenológica postoperatoria. En algunos casos de mejoría el quiste apenas ha variado de tamaño, por el contrario en algunos pacientes se puede observar un colapso total de las cavidades después de la intervención sin una clara correlación clínica.
Según lo describe William Bell y col. los niños tanto como los adolescentes y adultos responden mejor a la cirugía descompresiva que los menores a un año, que en general presentan una respuesta escasa. Ésta podría deberse a que la compresión dentro del primer año de vida puede producir daño isquémico en el tronco cerebral o bien que éstos niños presentarían una citoarquitectura neurológica previamente alterada. La mejoría clínica postquirúrgica de la debilidad muscular sólo se observa en el 16-50 % de los pacientes. Peores resultados se observan cuando hay atrofia muscular, ya que raramente se ha verificado alguna mejoría luego de la cirugía.
En el tratamiento del síndrome siringomiélico los enfermos que no tienen déficit motor importante y que se operan pronto obtienen una mejoría importante; sin embargo pueden quedar síntomas, en especial los que afectan a las manos. En relación a esto, Rubio y col. (32) obtuvieron con la RFP buenos resultados, pero sin encontrar una diferencia estadísticamente significativa entre esta técnica y la descompresión de fosa posterior clásica.
En lo que respecta a las vías largas, la mejoría es mayor desde el punto de vista subjetivo que lo objetivable con el examen clínico.
No hay una exacta correlación entre la evolución clínica y la imagenológica postoperatoria. En algunos casos de mejoría el quiste apenas ha variado de tamaño, por el contrario en algunos pacientes se puede observar un colapso total de las cavidades después de la intervención sin una clara correlación clínica.
Chiari tipo II
Para Pollack y col. la descompresión urgente de los niños con Chiari tipo II y síntomas de disfunción troncal ofrece muy buenos resultados. En su trabajo 10 de los 13 niños tratados con esta metodología presentaron una clara y rápida mejoría de los síntomas luego de la cirugía.
El 68% logra un resolución total o casi total de los síntomas, el 12% presenta como secuela algún déficit moderado y un 20% no presentan mejoría. El paro respiratorio es la primera causa de muerte, seguido por meningitis/ventriculitis y broncoaspiración ).
Según algunos estudios en un seguimiento con un rango de 7 meses a 6 años la mortalidad postoperatoria fue del 37.8%.
El estado preoperatorio y el deterioro rápido de los síntomas son los factores predictivos más importantes. La parálisis de cuerdas vocales bilateral es un factor predictivo negativo muy importante de respuesta a la cirugía .
El 68% logra un resolución total o casi total de los síntomas, el 12% presenta como secuela algún déficit moderado y un 20% no presentan mejoría. El paro respiratorio es la primera causa de muerte, seguido por meningitis/ventriculitis y broncoaspiración ).
Según algunos estudios en un seguimiento con un rango de 7 meses a 6 años la mortalidad postoperatoria fue del 37.8%.
El estado preoperatorio y el deterioro rápido de los síntomas son los factores predictivos más importantes. La parálisis de cuerdas vocales bilateral es un factor predictivo negativo muy importante de respuesta a la cirugía .




No hay comentarios:
Publicar un comentario